Clenching, Grinding & Breathing: What Your Mouth Is Telling You at Night

April 24, 2026
|
Posted By: Katie To, DDS

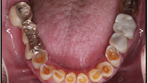
Clenching and grinding: more than a stress habit

Bruxism — the clinical term for teeth grinding and jaw clenching — affects roughly 1 in 3 people at some point in their lives. Most people assume it's purely stress-related, and while stress is a real trigger, research is increasingly pointing to another major cause: restricted airways during sleep.

When your airway becomes narrow or partially blocked at night, your body doesn't just lie there quietly. It responds. Your jaw moves forward, your muscles tighten, and you unconsciously clench — all in an effort to reopen the airway and keep oxygen flowing. It's your body's protective reflex, working hard while you sleep.