Smile Gallery
Do you look at your smile and wish there were things you could change? At the office of Katie To, DDS, our passion for helping our patients achieve beautiful, healthy smiles shows in everything we do and allows us to create stunning transformations to bring you the smile of your dreams.
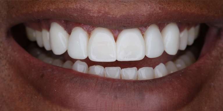
We’d like to share a few before and after pictures showing the dramatic improvements we’ve made to many of our patient's smiles. If you’d like to get an idea what’s possible, take a look at these photos, then call our Katy dental office to schedule your next dental appointment!


This patient did not like her front tooth because of the chip and discoloration. After digitally planning her smile, we did cosmetic bonding on her four front teeth. This treatment has restored her confidence and she loves her smile.


Patient finished orthodontic treatment and had gaps and teeth that were too small. We created a smile design that she fell in love with and we gave her a smile transformation without having to remove any tooth structure. She loves it!


Patient had chips and worn down front teeth. After showing her what was possible with a Smile Design and Test Drive, she was ready to move forward. She loves her smile transformation!


This patient is a teenager and was born without two of her front teeth, and she is too young for implants. After her orthodontic treatment, she had large gaps from the missing teeth. We designed her new smile with Digital Smile Design and Dr. Katie was able to execute a beautiful new smile for her without removing any of her existing tooth structure. So, if she ever decides to get implants to replace her missing teeth, we can remove the restorations without any damage to her teeth.


The patient was missing her front tooth and wanted a solution that was not an implant and not a bridge that would require shaving down her healthy teeth. We were able to give her a permanent solution that allows her to keep all of her natural tooth structure and get the smile she has always wanted.


This patient was tired of taking her partial denture in and out multiple times, every day. She had to take it out to eat and was only able to use it for social settings. With Digital Smile Design and non-invasive Cosmetic Bonding, we restored the patient's confidence and she no longer has to remove anything to eat. She is so happy and can eat well now.


We did a Digital Smile Design to plan her new confident smile. This cosmetic bonding was executed with no anesthesia and she was able to keep all her original tooth structure. She loves her natural, confident, smile.


Being in his late fifties, our patient was looking for an alternative to braces. He wanted straighter and more ideal sized teeth. Using Digital Smile Design, we were able to accomplish his wishes by bonding 6 teeth with no anesthetic needed. A one day transformation equals a lifetime of happiness.

















