It's Not Just About Teeth - It's About Function

April 8, 2026
|
Posted By: Katie To, DDS

When most people think about dentistry, they think about teeth. 

In biological dentistry, we look at something more foundational - how the mouth is functioning as a whole. 

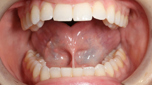
One of the things we routinely screen for is how restricted your or your child's tongue tie is.

A restricted tongue tie can impact more than just the mouth. 

Over time, it may contribute to:

  • Disrupted sleep
  • Mouth breathing
  • TMJ discomfort 
  • Headaches
  • Neck and shoulder tension

In a biological approach, we screen for these underlying factors early, so we can better understand what's contributing to your overall oral and systemic health. 

Follow along as we continue to explore how a  more comprehensive approach to dentistry can support your long-term health.